Healthy Gums For A Healthy Smile
03 Aug, 2015 9:35 AM
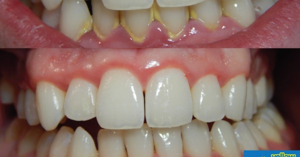
Both dental plaque and tartar are filled with harmful bacteria, and if they aren't removed from teeth, they will begin to irritate the gums and cause gingivitis. At Swedish Dental Clinic, we not only treat Gingivitis but also assist you in the prevention of the disease.
Visit us for all your dental needs today!










