Hyperdontia- When Too Much Is Way Toooo Much
20 Jul, 2015 9:23 AM
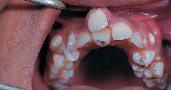
When a person has more than the normal number of teeth- its most likely hyperdontia.
So what's hyperdontia...? It's an oral condition where people have extra teeth growing anywhere in their mouths; often causing complications with the normal eruption of regular teeth, increased tooth decay risk and gum disease.
The way to prevent or correct this problem is to seek expert dental help - Visit Family Dentistry for amicable patient care and effective dental corrective treatment.
Hyperdontia dental corrective treatment dental Family Dentistry










