Dental Veneers Installation in Nairobi, Kenya
19 Feb, 2018 12:39 PM
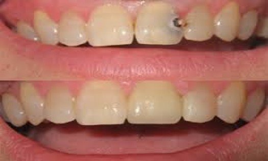
If you have gaps in your teeth, teeth that are stained or chipped, or you just want a brighter smile, Veneers may be an option for you. Our Dentists at Family Dentistry will place a thin porcelain or Resin veneer on top of your teeth to help you regain your beautiful smile.
Porcelain veneers resist stains better than resin veneers and better mimic the light reflecting properties of natural teeth. Resin veneers are thinner and require removal of less of the tooth surface before placement. At Family Dentistry, we will discuss with you the best choice of veneer material for you because, in the end, it is what you want that matters.
Our dentists are professional in their work and so you can trust them with your dental health. Visit our clinic, along James Gichuru Rd, Lavington Nairobi, or call us on 0707 418077 or 0722 784882 for inquiries.
Veneers Teeth Gaps Beautiful Smile Dental Doctor Dentistry Veneers Installation










