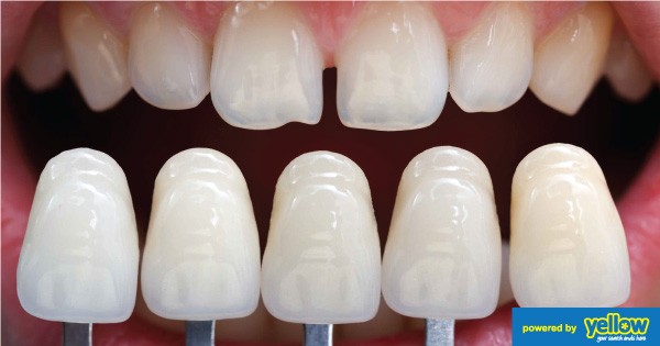
Porcelain veneers to mask discolorations and to improve a smile.
29 Mar, 2016 5:04 PM
Porcelain veneers are placed to mask discolorations, to brighten teeth, and to improve a smile.
Highly resistant to permanent staining from coffee, tea, or even cigarette smoking, the wafer-thin porcelain veneers can achieve a tenacious bond to the tooth, resulting in an esthetically pleasing naturalness that is unsurpassed by other restorative options.










